sehpt hands 2

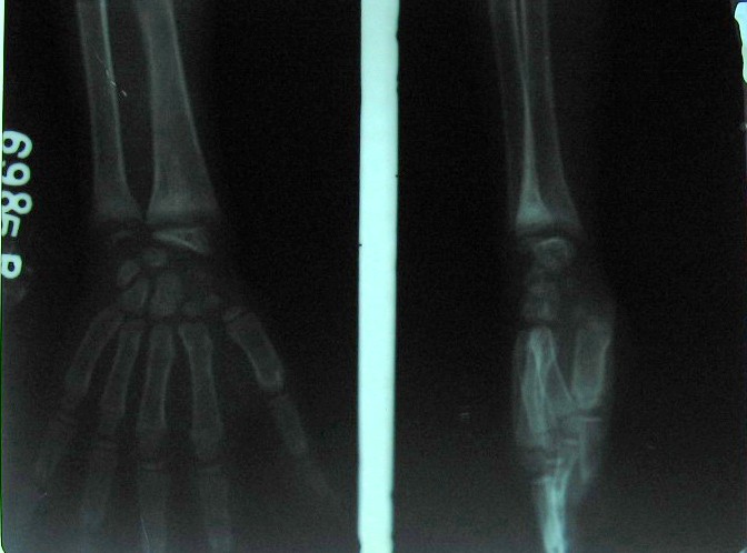
Fig.5 Hands A.P and Lateral

Bookmark the permalink.

Leave a Reply

Your email address will not be published. Required fields are marked *