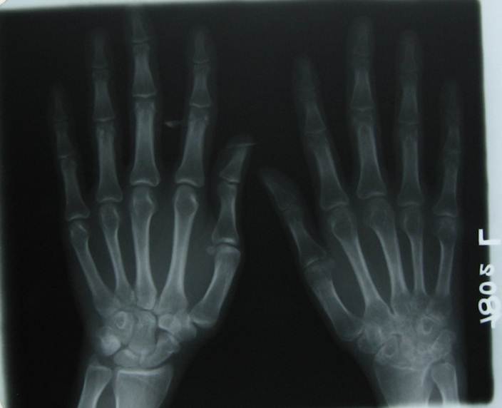
RHEUMATOID ARTHRITIS1

Bookmark the permalink.

Leave a Reply

Your email address will not be published. Required fields are marked *