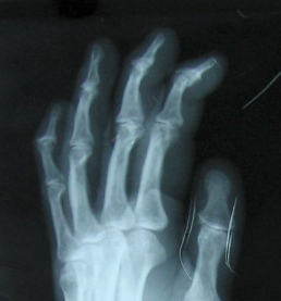
Fig.4. Lt. hand oblique view magnified for D I P joints
Your email address will not be published. Required fields are marked *
Comment
Name *
Email *
Website
Save my name, email, and website in this browser for the next time I comment.
Leave a Reply