psorisis hand 2 case

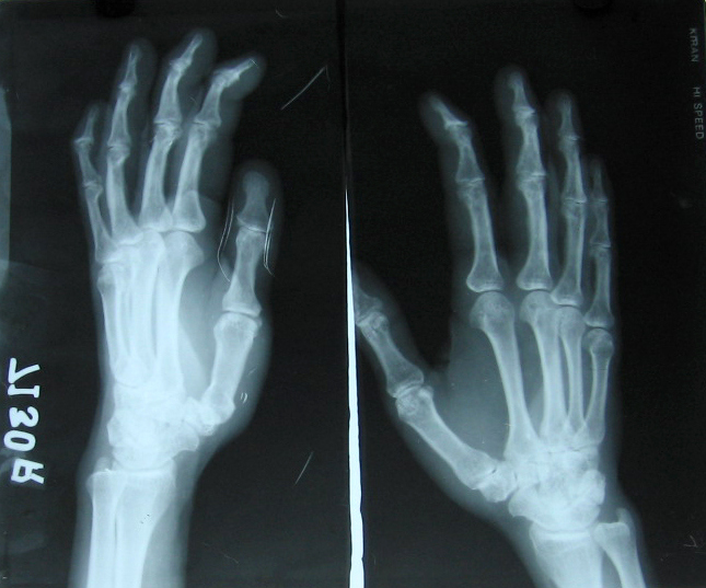
Fig.3 Both hands Oblique view

Bookmark the permalink.

Leave a Reply

Your email address will not be published. Required fields are marked *