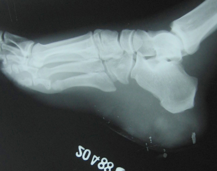
Fig.9 Rt foot lateral soft tissue radio graph -different patient
Your email address will not be published. Required fields are marked *
Comment
Name *
Email *
Website
Save my name, email, and website in this browser for the next time I comment.
Leave a Reply