Dr. Vasu
conventional radiologist
Facebook Flickr GooglePlus
Skip to content
  • Home
  • About Dr. C K Vasu
  • Cases
  • Contact Us

Author Archives: Admin

« Older posts
Newer posts »

Asphyxiating Thoracic Dystrophy (Jeune Syndrome)

  By Admin | September 30, 2013 - 12:37 pm | Musculoskeletal, Skeletal Dysplasias
Leave a comment
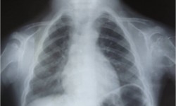
Fig.1-Chest P.A
Fig.2 -Chest-Lateral

ACHONDROGENESIS

  By Admin | September 30, 2013 - 8:13 am | Musculoskeletal, Skeletal Dysplasias
Leave a comment
Fig.2
Fig.1

Osteo poikilosis with Osteopathia striata (Overlapping syndromes)

  By Admin | September 30, 2013 - 7:23 am | Musculoskeletal, Skeletal Dysplasias
Leave a comment
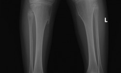
Both knee-A P View

OSTEOPATHIA STRIATA ( VOORHOEVES DISEASE)

  By Admin | September 29, 2013 - 1:42 pm | Musculoskeletal, Skeletal Dysplasias
Leave a comment
Rt. Knee A.P and Lateral

CLEIDO CRANIAL DYSOSTOSIS

  By Admin | September 26, 2013 - 6:37 am | Musculoskeletal, Skeletal Dysplasias
Leave a comment
Fig.1
Fig.2

CHONDR ECTODERMAL DYSPLASIA (Ellis-Vancreveld syndrome)

  By Admin | September 25, 2013 - 5:31 am | Musculoskeletal, Skeletal Dysplasias
Leave a comment
Fig.1
Fig.2
Fig.3

Fig.4
Fig.5
Fig.6

Achondroplasia Adult

  By Admin | September 24, 2013 - 6:58 am | Musculoskeletal, Skeletal Dysplasias
Leave a comment
Fig.1
Fig.2
Fig.3

Fig.4
Fig.5
Fig.6

Fig.7

Achondroplasia Child

  By Admin | September 24, 2013 - 6:35 am | Musculoskeletal, Skeletal Dysplasias
Leave a comment
Fig.1
Fig.2
Fig.3

Fig.4
Fig.5
Fig. 6

Fig.7

METAPHYSEAL CHONDRODYSPLASIA (Schmidt Type)

  By Admin | September 12, 2013 - 2:48 pm | Musculoskeletal, Skeletal Dysplasias
Leave a comment
Case.1
Case2. Fig.1
Case2. Fig.2

Spondyloepiphyseal Dysplasia

  By Admin | August 23, 2013 - 5:11 am | Musculoskeletal, Skeletal Dysplasias
Leave a comment

« Older posts
Newer posts »
  • Case Catagoreis

    • Musculoskeletal
      • Arthritis
      • Endocrine Diseases
      • Skeletal Dysplasias
Skip to content
  • Home
  • About Dr. C K Vasu
  • Cases
  • Contact Us

Copyrights Reserved © drckvasu.edu

Designed By : ManomayaSoft